
What Should You Look for in a Patient-Centered Dental Office?
Looking for a high-quality, patient-centered dental office? Visiting a dental clinic shouldn’t be a source of stress. The

Looking for a high-quality, patient-centered dental office? Visiting a dental clinic shouldn’t be a source of stress. The

You want a brighter smile, and you’re tired of wasting money on ineffective do-it-yourself kits. Their short-lived whiteness

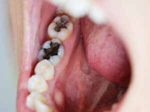
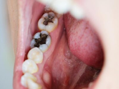
Tooth sensitivity is usually the first symptom you notice when you have a cavity. If you’re feeling some

If you’ve invested in a dental bridge for broken tooth repair, you’re probably wondering how to properly care

Have you recently received dental veneers and aren’t sure how to properly care for them? Cosmetic veneers require

When searching for a dentist for your family, you deserve to want a provider who has it all.

Wondering what happens if a cavity is left untreated? Cavities can start out with mild sensitivity, and eventually

Need a dental bridge and not sure what to expect? There’s a common anxiety around many dental procedures.

The best dentist near Ypsilanti, Michigan, is the provider who handles all your dental care needs. There are

When it comes to the health of your teeth and mouth, you need a dental office that offers

Veneers are typically thought of as only a cosmetic procedure. However, these dental enhancements offer numerous practical benefits

Most people seek teeth whitening for a brighter, more aesthetically pleasing smile. Some might not be aware of